酒文化,是中国饮食文化的重要部分,对于一个喜欢热闹、喜欢酒文化气氛的人来说,没有酒,很难想象一桌子人围在一起拼命扒饭的状态,也能称之为宴会。笔者不喜酒,很难享受那种微醉的乐趣,仅想科学地解释一些我常被问到的问题。
酒精在人体的代谢
酒精,化学名乙醇,人体摄入的乙醇无法被人体直接利用,90%以上需经肝脏进行代谢或者说“解毒”,这个化学过程需要两个酶,经胞质内乙醇脱氢酶(ADH)和微粒体内细胞色素P450 2El(CYP2E1)催化,乙醇被氧化为乙醛,后者再经乙醛脱氢酶(ALDH)代谢为乙酸,最终转变为二氧化碳和水排出体外。
酒精与酒量
所谓酒量,作者理解应该是饮而不醉的最大量。醉,是酒精对机体的伤害达到一定的程度。是否醉酒,取决于血液中乙醇的浓度。当血液中乙醇浓度在0.05-0.1%时,人开始朦胧、畅快地微醉;而达到0.3%时,就会口齿不清,步态蹒跚,这就是常说的酒醉了;如果达到 0.7%,人就会死亡。对于乙醇的承受力,个人差异很大。这是由于胃肠吸收能力和肝脏的代谢处理能力不同所致,也就造成了人之间的酒量不同。上面说到的三个酶,乙醇脱氢酶(ADH)、微粒体内细胞色素P450 2El(CYP2E1)和乙醛脱氢酶(ALDH)是决定每个个体差异的绝对因素,酒量具有遗传性,与这三个酶的遗传性有关,而且这三个酶具有高度的基因多态性,这种多态性决定了饮酒行为。
酗酒者有基因决定的痕迹
酗酒者往往受到谴责,被认为纯粹的不良个人行为,科学发现,酗酒者具有遗传背景,是由基因决定的。乙醇脱氢酶ADH2*2编码的酶具有较高活性,可使乙醇分解速度增加13倍,存在于70%以上的中国汉族人群中。一项纳入21个病例对照研究的荟萃分析显示,ADH2*2在亚洲人群中可作为酒精性肝硬化的保护因素,使其发病风险明显减低。一份对 876例欧洲人研究发现,ADH2*2等位基因频率在非酗酒者中要高于酗酒者(P=0.001 6),也就是说体内有这个基因的人不易酒精成瘾,没有携带这个乙醇脱氢酶同位基因的容易对酒精产生依赖,并更易发展成酒精肝。
酒与红脸
红脸的症状就是面色潮红、心动过速及恶心、呕吐等醉酒症状,产生这些症状与乙醛在体内大量蓄积相关。这一现象主要存在于日本、中国和韩国等东亚人群中,因此也被称为“亚洲红”。这些不适症状会抑制人们继续饮酒的欲望,不易产生酒精依赖,可对饮酒者起到保护作用,从而降低其发生酒精性肝病的风险。这也是亚洲人相比于欧洲高加索人和非裔美国人较少发生酒精依赖的原因。而乙醛在体内大量蓄积与乙醛脱氢酶(ALDH) 的2个等位基因有关,即野生型ALDH2* 1和突变型ALDH2*2,突变型ALDH2*2如果活性不够,易脸红,也具有遗传性。但我国的一份研究显示,如果携带突变型ALDH2*2基因的人群,即便少量饮酒也会比无携带突变型ALDH2*2基因的更易发展成肝硬化甚至肝细胞癌,简单说,红脸的人常饮酒后果更严重。
酒量可以锻炼出来吗
酒量可否锻炼出来,包含两层意思,一是,所谓练酒量,其实是提高酒精对人体伤害的耐受程度,做到“酒精耐受”:相同量的酒精,对身体功能和行为产生更轻微的效果。
二是,提高酒精的代谢速率,使乙醇及代谢产物不易在体内积聚。这与上述三个酶有关,乙醇脱氢酶(ADH)和乙醛脱氢酶(ALDH)相对受遗传影响,难以诱导,也即后天难以提高。但微粒体内细胞色素P450 2El(CYP2E1)易诱导,长期酒精刺激可以增加活性20倍以上。
酒精性肝病对饮酒量的标准
酒精量的个体差异很大,我国定义的标准是有长期饮酒史,一般超过5年,折合乙醇量男性≥40g/d,女性≥20 g/d,或2周内有大量饮酒史,折合乙醇量>80g/d。但应注意性别、遗传易感性等因素的影响。
乙醇量(g)=饮酒量(ml)×乙醇含量(%)×0.8。
举例说明
男性,35岁,最近单位体检查肝功能转氨酶ALT明显升高,达300多(正常不超过40),到我院肝科门诊,医生常规病毒性肝炎等检查,均阴性,也检查了自身抗体均正常。查B超提示脂肪肝,没其他病因提醒,询问病史,有每天饮酒的习惯,但量不多,每天约3两白酒,有5年历史。该病人,体重70Kg,升高168CM,体重指数:24.8,还够不上肥胖。


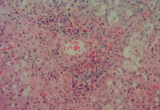
病理见肝脏以3区病变为主,脂肪细胞变性,大泡性为主,肝细胞水肿、气球样变,小叶炎较重,肝纤维化窦周纤维化明显,可见Mallory酒精小体。
最后诊断酒精性肝炎并发展成酒精性肝纤维化。
酒精性肝病
酒精性肝病初期通常表现为脂肪肝,进而可发展成酒精性肝炎、肝纤维化和肝硬化。酒精滥用和依赖显著增加了酒精性肝硬化的发生风险,其中在40~59岁人群最为显著。此前曾有报道,长期的每天饮酒,尤其是饮白酒或啤酒,更易引起酒精性肝硬化。年龄和人体体重指数是嗜酒者发生酒精性肝炎的独立预测指标。一份研究(JHepatol,2017,66(3):6lO-618.)认为早期/代偿期酒精性肝病患者的5年肝病相关死亡率为13%,而失代偿期患者则高达43%;其中严重纤维化(F3/4)对10年死亡率有重大影响(F3/4:45%比F0~2:0%,)。对于失代偿期酒精性肝病患者,临床特征(性别:女性)、肝衰竭的生物化学指标(胆红素、国际标准化比值)、组织学特征可以预测患者的长期生存率;随访期间,无论代偿期还是失代偿期酒精性肝病患者,戒酒都是生存率的重要预测指标。(肝胆相照-肝胆病在线公共服务平台www.igandan.com)

谭友文,“老谭说肝病”主要撰写者,主任医师,博士。江苏大学硕士生导师,江苏大学附属镇江三院肝科主任,江苏省临床重点专科负责人,江苏省333培养对象。
本文转载自“老谭说肝病”,转载仅作观点分享,版权归原作者所有,如有侵犯版权,请及时联系我们。