2018-09-20
健康时报、青岛日报
肝胆相照
健康时报、青岛日报
肝胆相照
A+
A-
对于X线、CT、B超、核磁共振这些常用的影像学检查,很多人分不清楚。现在,我们把身体比作食物,告诉你这些检查如何发挥不同的作用。

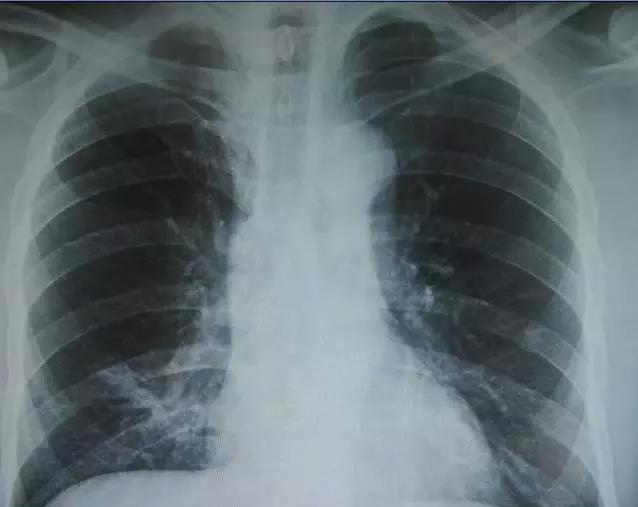
X光是穿透性很强的射线,能够穿透人体,使用X线对人体内部进行透视或摄影的检查方法,其原理是利用了X线的穿透作用。在穿透人体时,被含钙的成分(骨)、水分(血液等)、软组织(肌肉)等吸收而减弱,X线会穿过人体,遇到被遮挡的部位,底片上不会曝光,洗片后这个部位就是白色的。因此可以呈现出所检查部位的基本形态。
就像一片面包或一块棉花,看不到里面的纤维纹理,但用手压瘪了会清晰一些。X线最大缺点是受制于深浅组织的影像相互重叠和隐藏,有时需要多次多角度拍摄X线片。

CT意为X线计算机断层摄影,是用X线束对人体某部进行断层扫描,获得人体被检部的断面或立体图像。CT可以提供人体被检查部位的完整三维信息,可使器官和结构清楚显影,清楚地显示病变。就像把一片面包切成片来看。优点是可以分层看,经计算后可以显示出更多的组织信息。

B超检查是利用超声波产生回声的原理来检查的。超声能向一定方向上传播,而且可以穿透物体,如果碰到障碍,就会产生回声,人们通过仪器将这种回声收集并显示在屏幕上,可以用来了解物体的内部结构,辅助诊断。就像挑西瓜一样,边敲边看显示病灶情况。B超是两个维度的超声信息,构成平面图形,反映人体结构。
随着彩色-多普勒超声技术的产生,出现了彩超(彩色B超),即在黑白B超的基础上加上彩色多普勒,彩超同时又提供了血流动力学的丰富信息,实际应用受到了广泛的重视和欢迎,彩超在目前临床上经常被使用。

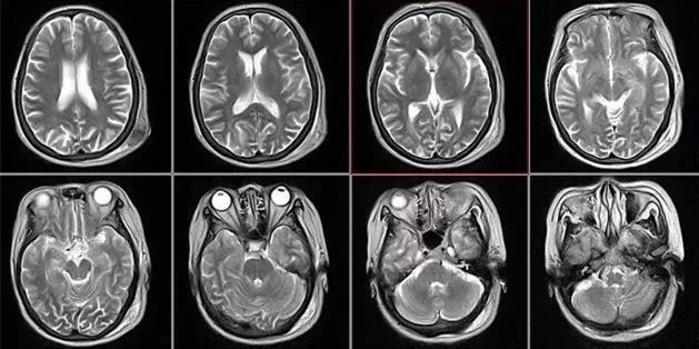
核磁共振仪使用较强大的磁场,使人体中所有水分子磁场的磁力线方向一致,这时磁共振机的磁场突然消失,身体中水分子的磁力线方向,突然恢复到原来随意排列的状态。简单说,就相当于用手摇一摇,让水分子振动起来,再平静下来,感受一下里面的振动。所以,核磁共振也被戏说为是摇摇看的检查。
四种方式分别用于何种检查?
就诊时,医生常会开各种各样的影像学检查单:超声、CT、核磁……不少患者会质疑医生故意开高价检查单。其实,医生是依据不同病情选不同影像检查的。
各种外伤,如果怀疑伤到了骨头,优先选择X光照片,检查结果快速易得。若要进一步观察,可以选择CT。超声、核磁对于骨皮髓质等看不大清,一般不选择。
颈椎病、腰椎间盘突出等椎间盘疾病需要观察椎间盘与相应的神经根,要想更好观察这些软组织,最优选择就是核磁。同样,对于关节、肌肉、脂肪组织检查,核磁也是首选。
X线胸片可粗略检查心脏、主动脉、肺、胸膜、肋骨等,可以检查有无肺纹理增多、肺部钙化点、主动脉结钙化等。
胸部CT检查显示出的结构更清晰,对胸部病变检出敏感性和显示病变的准确性均优于常规X线胸片,特别是对于早期肺癌确诊有决定性意义。但是CT检查的辐射剂量高于X线。核磁对于肺部疾病的诊断,应用非常有限。
腹腔器官受呼吸影响较大,进而影响到CT、核磁成像,而超声不会因此受影响。同时,超声对肝脏、脾脏、胰腺、肾脏、盆腔等器官诊断准确率较高。
但是超声受气体干扰很大,对于肠道等含气较多的器官,超声诊断准确率会降低。
常规的心脏结构与功能检查,心脏彩超所提供的信息已经较为充分,又简单易行。
用CT可检查冠状动脉,但冠脉CT检查辐射量较大,不适合作为常规体检。核磁虽无电磁辐射,但对冠状动脉的观察不及CT。心脏核磁则是评价心脏结构和功能的“金标准”。(肝胆相照-肝胆病在线公共服务平台www.igandan.com)
本文综合自“健康时报、青岛日报”,转载仅作观点分享,版权归原作者所有,如有侵犯版权,请及时联系我们。

