【病例分享】
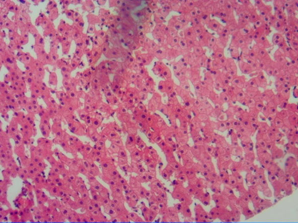
张某,65岁,退休后,常觉困乏、体力不支,无高血压、糖尿病等慢性疾病,也无乙肝丙肝、自身免疫性肝病等病史,不喜酒,无肥胖。近5月来开始使用某“保健品”,自觉使用后效果很好,精神较前好,体力增强。但最近的体检发现肝功能转氨酶升高,ALT120U/L。B超等也未发现明显的肝胆损伤,建议病理学检查,如下:

病理解读:从肝组织看出,无论汇管区还是中央静脉周围未发现坏死炎症,无炎症细胞浸润,无纤维化形成。但却发现肝细胞板瘦窄,窦间隙扩张,出现这种肝损伤一般提示药物性损伤或者肝血管性疾病。进一步CT、血管造影等检查未发现血管异常,后分析“保健品”成分,发现此保健品含儿茶酚类物质,这类物质可以出现这样的肝损伤病理类型。
【保健品,到底是什么?】
保健品是中国大陆的一般称呼,GB16740-97《保健(功能)食品通用标准》第3.1条将保健食品定义为:“保健(功能)食品是食品的一个种类,具有一般食品的共性,能调节人体的机能,适用于特定人群食用,但不以治疗疾病为目的。在国外包括港澳台地区一般称之为:膳食补充剂(Dietary Supplements)。所以其本质仍然是食物一类。
【人体需要什么?】
人,作为生物个体,其需要大自然各种物质来维持生命运动。人体需要的物质,(也称营养素)有很多,例如水、蛋白质、脂肪、碳水化合物、维生素、矿物质、膳食纤维等,人体通过我们自身的脏器,来摄取、消化、吸收、分解、代谢并用于我们机体,维持生命活动。任何大自然的物质,最主要的通过我们的消化系统,最终会化解为上述几大类物质,变成结构简单、可被吸收的小分子物质,如葡萄糖、氨基酸、脂肪酸、水、维生素、矿物质等。不存在吃什么补什么,食物的形状、功能只有人体大脑认识,胃肠不认识。
【保健品的来源与本质】
简单介绍一个名词,生物效价也称“生物利用率(Bioavailability)”。Sibbald(1987)指出,生物效价本身是一个抽象的概念,可以给出定义而无法直接测定。这一概念具有多重涵义。张子仪(1994)指出,生物效价包括消化率、代谢率、同化、有效性和可利用率等多重涵义。一种营养素的生物学效价是指该营养素被动物食入后,被小肠吸收并能参与代谢过程,贮存在动物体内的部分占食入总量的比值,可概括为相对利用率和绝对利用率。可见人体摄入的食物不是完全被人体利用,很多由于其他营养成分不匹配,或者利用不够而浪费或者不当储存,如脂肪,人体摄入过量的脂肪、糖、蛋白质,都会转变成脂肪储存。但很多微量元素又由于食物中含量少,或者不均衡难以补充,如锌,硒,钙、维生素D等。于是就诞生了一些以补充这些特定元素的食物,这是保健品最初的由来,显然恰当补充这些保健品对特定的人群是有一定帮助的。
【违规的“保健品”】
保健品既然其本质是食物成分,或者食物补充成分,对于特殊的个体,如果补充恰当,肯定有一定效果,如对营养不良的补充蛋白粉,对缺乏维生素A的补充维生素A。而对并不缺乏个体,显然无作用,这样的话,保健品的适宜人群就非常少,为了提高保健品的效果及市场,显然要提高“保健品”的效果,因此,保健品就不再是食品,而被不恰当添加药物成分,如减肥“保健品”可能含减肥药品如二甲双胍,美白保健品可能含重金属,增加体力的可能含儿茶酚类或者激素类。再打上“天然”“中草药”“纳米技术”等等。国家对保健品的管理显然要远逊色于药品。这样的“保健品”当然是损肝的!
【我国药物性肝损防治指南对保健品肝损的阐述】
我国人口基数庞大,应用传统中药(TCM)、天然药(NM)、保健品(HP)、膳食补充剂(DS)等较为随意。TCM-NM-HP-DS 或保健品、膳食补充剂作为药物性肝损的病因,在全球越来越受到重视。2013 年冰岛一项前瞻性研究表明该国保健品、膳食补充剂是药物性肝损病因的 16%,美国 DILIN 数据显示保健品、膳食补充剂占 DILI 病因的 20%以上。且保健品、膳食补充剂更是易于购得。在美国,绝大多数保健品、膳食补充剂未按照药品标准研发,无需临床前和临床安全性及有效性验证,也无需通过食品和药物管理局(FDA)批准即可上市。以上因素均增加了滥用保健品、膳食补充剂引起药物性肝损的风险。因此, 欧盟已要求保健品、膳食补充剂应严格按照《欧盟传统草药产品指令》注册后方可上市。
我国人口众多,进行这类调查很难,因此,我国尚无保健品、膳食补充剂伤肝的系统调查与研究,但可以想象的是,由于受文化、观念影响,保健品、膳食补充剂使用非常广泛,更缺乏食品和药物管理局的监管,因此,没理由认为我国保健品、膳食补充剂对肝脏伤害的比例会低。(肝胆相照-肝胆病在线公共服务平台www.igandan.com)
本文系谭友文医生投稿,肝胆相照平台编辑,欢迎转载,但请务必标明出处。